Theodor Bilharz und die Bilharziose
Jetzt, wo die Tage kürzer und die Abende länger werden, denkt man gerne an wärmere Zeiten, an tropische Temperaturen und Baden in warmen Gewässern. Eine Parasitose, die jedoch in tropischen Seen und Gewässern lauert, hat der in Tübingen ausgebildete Arzt Theodor Bilharz 1851 in Kairo beschrieben. Nach ihm ist die Bilharziose benannt, die zu den gefährlichen Tropenseuchen zählt. Circa 250 Millionen Meschen leiden an ihr.
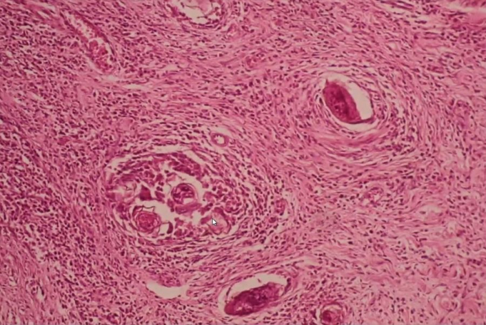
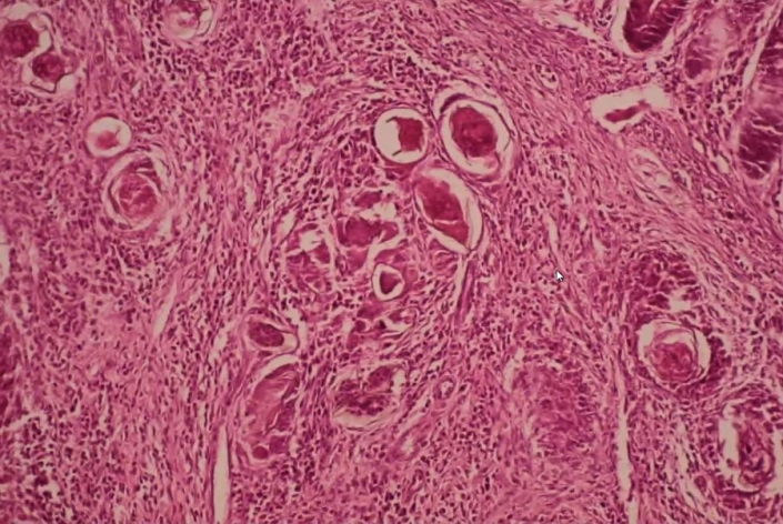
Das Mikroskop spielt eine entscheidende Rolle bei der Diagnose des Befalls mit den Trematoden-Würmern, bei der Unterscheidung der verschiedenen Erreger und dem Nachweis der Übertragungsstadien (Zerkarien) aus den Schnecken.
Darüber berichtet am Sonntag Alfons Renz und stellt die Parasiten, ihre Entwicklungsstadien und die Zwischenwirtsschnecken vor.




































